Nitrogen Fixation


Part II. Physiology and anatomy of nitrogen fixation


(Note: If you click on any of the pictures displayed on this page, you will be shown a larger, higher-quality version of the same image.)


Figure 1. Close-up view of nodules of soybean (top) and alfalfa. The soybean nodules on the right have been hand-sectioned to show the typical pink appearance of the nodule interior which is due to leghemoglobin, an important oxygen-binding protein present in nodules.


Figure 2. Crude extract from soybean nodules showing the red appearance due to leghemoglobin. Nodules were ground in buffer, filtered through cheesecloth, and centrifuged to remove cell debris. The sample shown is the supernatant without any further purification. Leghemoglobin is about 50% of the total soluble protein.


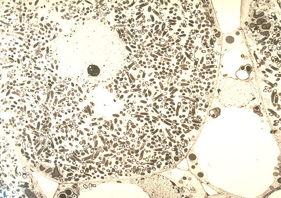
Figure 3. Electron micrograph of an infected cell from a cowpea (Vigna unguiculata) nodule. Most of the figure consists of a single plant host cell which is packed full of N-fixing bacteria - called bacteroids when in this symbiotic form.


Figure 4. Alfalfa grown in the presence (right) or absence of molybdenum, an element essential for N fixation due to its role in nitrogenase, the enzyme that catalyzes nitrogen fixation.


Figure 5. Soybean grown in the presence (left) or absence of cobalt, an element essential for N fixation due to requirements of the microbial symbiont (Bradyrhizobium japonicum in this case).


Figure 6. Ion exchange column used for the purification of nitrogenase from soybean nodules. Nitrogenase consists of two separate enzymes referred to as the Fe protein (or dinitrogenase reductase, upper band) and the MoFe protein (or dinitrogenase, lower band).


Figure 7. Cross section of nitrogen-fixing root nodule from alfalfa (Medicago sativa) with red Cy3 immunofluorescent probe indicating high concentrations of the antioxidant enzyme ascorbate peroxidase in the central infected region (INF) and in the endodermis (E). Other abbreviations: NC, nodule cortex; NP, nodule parenchyma.


Figure 8. Histochemical localization of ascorbate (an important antioxidant) in alfalfa nodules. Silver particles precipitated from AgNO3 indicating the presence of ascorbate in high levels in the endodermis region of the cortex. (INF: infected region, IC: inner cortex, OC: outer cortex)


Photo Credits
Figures 1, 4, 5, 6Harold Evans, Oregon State Univ.
Figures 2, 7, 8David Dalton, Reed College
Figure 3Mary Alice Webb, Purdue Univ.



Index

Nitrogen Fixation Home Page

Part I. The range of organisms that can fix nitrogen

Part II. Physiology and anatomy of nitrogen fixation

Part III. Ecology of nitrogen fixation


This page was created for David Dalton, a faculty member in the Biology Department at Reed College.

Questions or comments? Send e-mail to: david.dalton@reed.edu
Created 31July 97. Last modified 13 Aug 97.
Copyright ©1997 David Dalton