
Bio 332 - Vascular Plant Diversity:
PCR-RFLP results: 2004
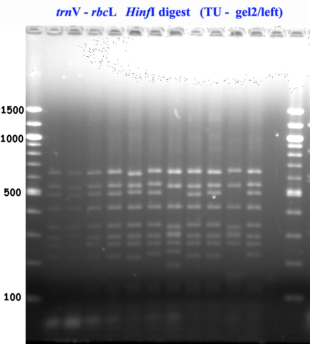
All digests below include ladders in the left and right lanes.
Samples should be arrqanged alphabetically from left to right (A through H;
K, L, M; then the control). The 1,500 bp, 1,000 bp 500 bp and 100 bp bands are
marked to the side of each ladder. The 3,000 bp band is also indicated on digests
from Thursday's lab.
The principle ladder used was New England Biolabs' 100
bp ladder.
In some lanes for Thursday's lab, NEB's 1
kb ladder was added to the 100 bp ladder
Clicking on any gel image will bring up a new browser window with a higher resolution image of the digest..
![]() |
![]() |
![]() |
![]() |
![]() |
![]() |
![]() |
![]() |
![]() |
![]() |
![]() |
![]() |
![]() |
![]() |
![]() |
![]() |
Maintained by the Reed College Biology Department
Last Modified 2/13/04
Questions/Comments to Keith.Karoly@directory.reed.edu